如果您上下楼时
膝盖内侧像针扎一样疼
走一段路,就酸胀难忍
但弯曲、转动膝盖却还算灵活
那么
您可能正经历着
“内侧间室骨关节炎”的典型困扰
这就好比轮胎单侧严重偏磨,膝盖的磨损也集中在了内侧。当保守治疗已无法缓解疼痛,生活步步维艰时,有一种精准的解决方案正在让许多人重获自如行走的能力:膝关节内侧单髁置换术。
72岁的邵阿伯这次走进医院,和别的患者不太一样,脸上却带着久违的笑容,原因是这次住院是为了让他的膝盖重获“新生”。

多年来,双膝疼痛如影随形,他试过吃药、打过“加油针”、也用尽各种土方,换来的却依然是行走时的一瘸一拐,甚至被乡邻玩笑地称作“瘸子”。直到半年前,他抱着一线希望来到舟山广安医院,找到了罗军副院长。
经详细检查,邵阿伯被诊断为“双膝重度骨性关节炎”。在保守治疗无效后,罗院长团队为他量身定制了治疗方案:双侧膝关节内侧单髁置换术。

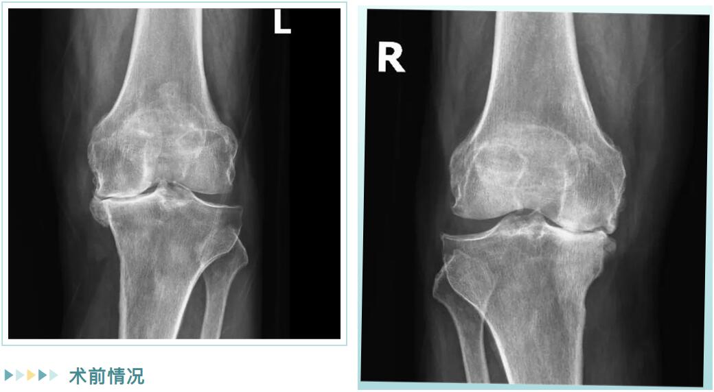
术前情况
从精准的3D术前规划,到罗院长团队娴熟的手术操作,再到术后个性化的康复指导,整个过程高效而顺利。很快,邵阿伯的“罗圈腿”变直了,术后他轻松站起,行走时仿佛时光倒流十年。
他激动地说:“现在,再也没人能叫我‘瘸子’了!”

术后情况
什么是膝关节内侧单髁置换术?
它并非换掉整个膝盖,而是用仿生“小垫片”精准替换掉内侧磨损的软骨面。手术仅处理病变部分,保留了您前后交叉韧带和健康的软骨,最大程度维持了膝关节原有的自然运动感和稳定性。
它的优势显而易见
创伤更小:切口远小于全膝置换,对组织伤害更少
恢复更快:许多患者术后第一天即可在辅助下站立行走,住院时间短,更快回归生活
感觉更真:因为保留了主要韧带,术后膝关节的本体感觉更好,上下楼梯、蹲起更自然
疗效长久:对于合适的患者,假体可使用多年,显著提升生活质量
上一篇
下一篇