术后第二天,70岁的鲍奶奶就重新站了起来,稳步行走的喜悦点亮了她的双眼,也点亮了膝关节疾病治疗的新路径。
“没想到手术后第二天就能自己下地走路,膝盖不疼了,走路也稳了!”
在骨科病房里,刚做完膝外侧单髁置换手术的张奶奶兴奋地与前来查房的医生分享她的喜悦。
这位70岁的老人,因膝关节外侧间室严重骨关节炎,疼痛多年,行走困难,生活质量严重下降。经过我院骨科专家团队的精心评估,为她实施了膝外侧单髁置换术。术后恢复迅速,效果显著,鲍奶奶重新找回了自由行走的快乐。
到底我院骨科专家团队是如何诊治的,一起来了解一下吧~
精准诊断,个性化治疗方案
鲍奶奶的膝关节问题并非一朝一夕形成。多年来,她的左膝外侧持续疼痛,尤其是在行走、上下楼梯和长时间站立后疼痛加剧。
近半年来,症状明显加重,甚至影响了日常起居。她曾尝试保守治疗,但效果不佳,疼痛和功能障碍严重影响了她的生活质量。
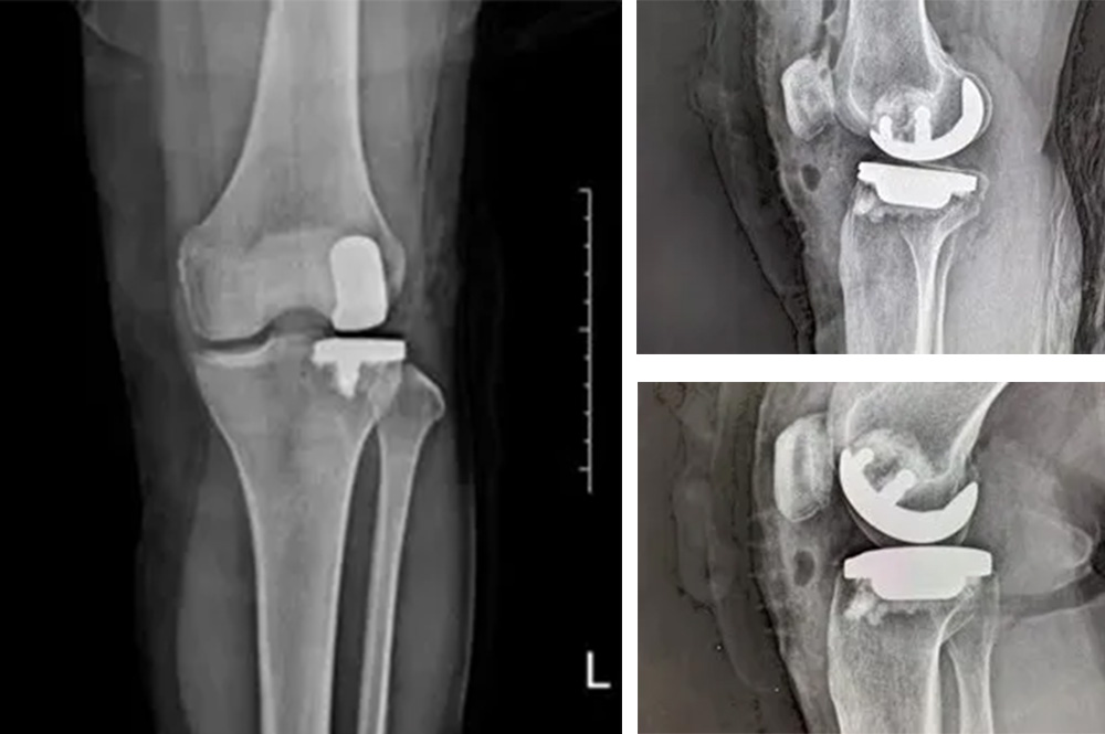
我院骨科主任罗医生介绍,膝关节分为内侧、外侧和髌股三个间室。鲍奶奶的问题主要集中在膝关节外侧间室,而内侧和髌股关节相对完好。

“传统全膝关节置换会切除所有关节面,而单髁置换只替换病变的部分,保留了健康的韧带和软骨,更符合‘精准医疗’理念。”罗医生说。

经过详细的体格检查、影像学评估和三维重建,医疗团队确认鲍奶奶的情况非常适合进行膝外侧单髁置换术。这种微创手术创伤小、恢复快,能够最大程度保留膝关节的自然结构和功能。
微创技术,手术室的精准艺术
手术当天,骨科团队采用微创切口,仅约8厘米,远小于传统全膝关节置换手术切口。术中精准定位,仅置换病变的膝关节外侧间室。
手术使用了最新的单髁假体系统,这种假体设计更符合人体工程学,能够更好地恢复膝关节的自然运动轨迹。
参与手术的柴医生解释:
“与传统手术相比,单髁置换出血少,软组织损伤小,术后疼痛轻。最重要的是保留了膝关节前后交叉韧带和本体感觉,患者术后感觉更像自己的‘原装’膝盖。”
整个手术过程仅持续约1小时,术中出血不到100毫升。术后鲍奶奶被送回病房,生命体征平稳。

快速康复,术后次日即行走
令人惊喜的是,术后第二天,在康复师的指导下,鲍奶奶已经能够借助助行器下床行走。
“不疼了,真的不疼了!”她激动地告诉医护人员。术后第三天,她已经能够独立在病房内行走,膝部活动度达到0-90度,远超预期恢复速度。
康复科刘治疗师介绍,针对单髁置换患者,我院制定了专门的快速康复方案,包括术后即刻冰敷、早期功能锻炼、渐进性负重训练等,这一系列措施有效减少了并发症,加速了功能恢复。
术后第五天,鲍奶奶膝关节活动范围已接近正常,顺利出院。出院时,她握着医生的手连声道谢:“你们不仅治好了我的腿,更给了我高质量的生活!”
技术优势,单髁置换的现代价值
膝外侧单髁置换术是膝关节置换领域的重要进展。与全膝关节置换相比,它具有明显优势:手术创伤小,仅置换病变部分;保留更多自然结构和韧带;术后恢复快,住院时间短;术后膝关节感觉更自然,活动度更好。
罗主任指出,单髁置换并非适用于所有膝关节疾病患者,需要严格把握适应证。
“对于病变局限于单一间室、韧带功能完好的患者,单髁置换是理想选择。但对于多间室病变或韧带功能不全的患者,全膝置换仍是更合适的选择。”
随着人口老龄化加剧,膝关节骨关节炎患者日益增多。单髁置换术为这部分患者提供了新的治疗选择,特别是对活动要求较高的年轻患者和中老年患者。
我院骨科已成功开展数十例膝单髁置换手术,包括内侧和外侧单髁置换,均取得良好效果。科室将继续推广这一技术,让更多患者受益。
预防养护,膝关节健康管理
膝关节健康需要长期关注和管理。罗主任提醒,保持适当体重、避免过度负重、坚持适度运动是预防膝关节疾病的关键。
“一旦出现膝关节疼痛、肿胀、活动受限等症状,应及时就医,早期诊断和干预能够有效延缓疾病进展。”
对于已经患有膝关节炎的患者,应根据疾病阶段选择合适的治疗方法。早期可采取保守治疗,如物理治疗、药物治疗、注射治疗等;当保守治疗无效,病变局限于单一间室时,可考虑单髁置换;病变广泛时,则可能需要全膝关节置换。
我院骨科设有膝关节专病门诊,提供从预防、诊断到治疗的全方位服务。团队将根据每位患者的具体情况,制定个体化治疗方案,帮助患者恢复膝关节功能,提高生活质量。
术后一个月复查时,鲍奶奶已经能够不借助任何辅助工具自如行走,甚至能完成短距离散步。“我现在每天都能去公园走走,和老朋友们聊天,这种自由自在的感觉太好了!”
夕阳下,鲍奶奶稳健的步伐映照出长长的影子,每一步都踏实地印在医院花园的小径上。
她的笑容里没有一丝勉强,那是重获健康后的自在与从容。不远处,骨科病房的灯光依然明亮,那里将继续点亮更多人的新“膝”望。
上一篇
下一篇