健康所系,性命相托。对重危患者来说,抢救生命,分秒必争。近日,我院骨科中心、普外科、内科、麻醉科、特技科等多学科协作成功救治一例严重骨盆骨折危重患者,目前患者顺利康复出院,特送来锦旗表示感谢。
买菜途中 突发车祸
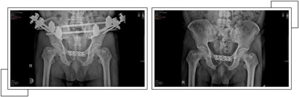
4月3日一早,和往常一样,家住六横的赵大叔骑着三轮车去买菜,谁知经过下坡路时刹车失灵,赵大叔重重地撞上了一根柱子后,三轮车压倒了他身上。赵大叔顿时感觉身体疼痛不已,无法转身、站立。在路过市民的帮助下,他迅速被送至当地医院。经CT拍摄显示,赵大叔骨盆骨折、腹腔积血。此时,大叔突然出现了呼吸急促、血压不稳定等情况,闻讯而来的家属当即表示要到广安医院治疗,并火速联系车子送往我院。

CT检查报告
广安多学科联合抢救
刚入院时,赵大叔已呈休克状态,生命体征不稳定。骨科中心副主任罗军立即组织内科、普外科、特技科等进行多科会诊,制定该患者的抢救方案。
内科继续加强补液、输血及升压药物应用,稳定患者生命体征。超声科在经过床边检查后,发现患者膀胱内积血、肝脾未破裂,腹腔积血为血肿形成,暂不考虑开腹探查。普外科周正主任分析病情后考虑病人存在膀胱损伤,立即对其进行导尿,保证尿液引流通畅,促进膀胱功能恢复。骨科医生立即对患者进行骨盆外固定带固定骨折部位,牵引复位,以避免骨折端进一步错位导致二次损伤。
经过多科协作,患者生命体征恢复平稳,众人悬着的一颗心也放了下来。
手术顺利 锦旗致谢

二周后,赵大叔病情稳定,身体各方面条件符合手术指征后,骨科中心副主任罗军带领手术团队为其进行了骨盆骨折、耻骨联合分离、双侧髂骨骨折、右侧耻骨上下支骨折切开复位内外固定术,手术一个半小时顺利完成。

经过关节科全体医护人员的精心治疗和护理,术后一个月,赵大叔康复出院。出院当天,赵大叔感谢的话说了又说,并在来复查时,特地制作了一面锦旗以表示谢意。
“广安医院的医生医术又好、态度又好,我住院的这段时间医生护士都对我非常照顾,让我很感动。我们老百姓到这样的医院看病才放心!”赵大叔说道。
此次严重骨盆骨折外伤患者的成功救治,是我院多学科联合救治(MDT)实力的又一次体现。通过骨科、普外科、内科、特技科、麻醉科等多科协作,各科室发展诊疗技术的优势互补,强强联合,多学科探讨为患者制定了更科学、更全面、更优化的诊疗方案,形成了一体化的诊疗模式,取得了圆满的成功。
今后我院将继续在多发伤的救治中,应用多学科协作策略,最大限度的挽救患者生命,保障人民群众健康安全。
上一篇
下一篇