一位68岁的患者,经历了膝关节置换术后长达8个月的感染折磨,行走日益艰难。近日,在舟山广安医院,一场融合多项前沿科技的手术,让他在术后第一天便重获行走能力,开启了人生新篇章。
这背后,是罗军副院长带领的骨科团队采用的 “基因测序+机器人规划+智能翻修系统+局部靶向治疗” 一体化解决方案,标志着复杂关节翻修手术进入了精准化、个体化的新时代。

68岁的张先生(化名),本以为一次膝关节单髁置换手术能终结他的疼痛。然而,术后感染不期而至,将他的生活拖入长达8个月的灰暗期。

膝关节持续红肿、疼痛,每一步都伴随着不适与恐惧。反复治疗,效果却不尽如人意。传统手段面对此类术后感染、结构遭破坏的复杂局面,往往力不从心,患者可能需要经历多次手术,且功能恢复难以保障。
“那段时间,最简单的散步都成了奢望。”张先生回忆道。对恢复日常生活的渴望,让他和家人四处寻医,最终来到了舟山广安医院。

面对这一棘手病例,罗军副院长团队没有贸然手术,而是首先启动了 “精准诊断” 程序。

他们采用二代基因测序技术,对关节感染灶进行分子层面的检测。与传统细菌培养相比,这项技术如同“基因雷达”,能在数小时内精准识别出导致感染的病原菌种类及其耐药基因,有效避免了因病原不明导致的治疗偏差。
“这就像战争中先明确了敌人是谁、有什么武器,我们才能制定最有效的打击方案。”罗军副院长形象地比喻。基于精准的检测结果,团队在清创时能够做到有的放矢,最大限度清除感染组织,同时保护健康结构。


清创只是第一步,如何在一片“复杂地形”中重建一个稳定、功能良好的膝关节,是更大的挑战。为此,团队引入了计算机辅助手术规划系统。

通过患者的CT数据,系统构建出膝关节的三维数字模型,精确评估骨缺损的范围与形态。医生可以在虚拟空间中,提前模拟手术过程,为患者“量体裁衣”,规划出假体安放的最佳位置、角度以及所需填充骨缺损的特殊垫块型号。

“这相当于在真实战斗前,进行了一次全方位的沙盘推演。”罗军介绍,这种规划确保了手术的精准度,缩短了手术时间,也为使用先进的翻修假体系统做好了完美铺垫。


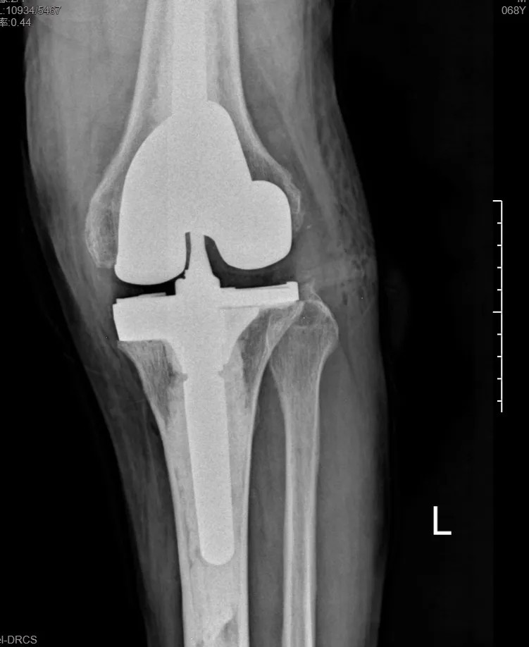
本次手术的核心,是采用了Evolution® ECCK膝关节翻修系统。该系统专为应对翻修手术中常见的严重骨缺损、韧带功能不全等极端复杂情况而设计。
其模块化的组件提供了前所未有的灵活性,就像一套高精度的“工程套件”,允许医生在术中根据实际骨缺损情况,自由组合不同尺寸的垫块、延长杆等部件,实现关节线和力学稳定性的个体化重建。

尤为重要的是,该系统保留了内轴型假体的设计哲学,在重建关节稳定性的同时,努力模仿了人体膝关节自然的运动方式(内轴稳定性、外侧活动性),旨在让患者术后不仅能走,还能走得更舒适、更自然。

为彻底清除感染,团队采用了多模式协同策略。在精准清创和系统性使用抗生素的基础上,创新性地在关节腔内进行靶向抗菌药物注射。
这种局部给药方式,能在感染区域形成远高于全身给药的有效药物浓度,如同一场精准的“阵地战”,对残留病菌进行强力清除,大幅提升抗感染疗效,同时减少了全身用药的副作用风险。
基因测序指导下的精准用药,与局部强化治疗相结合,构成了杜绝感染复发的“双保险”。


集多项前沿科技于一体的精准手术,带来了令人欣喜的结果。术后第一天,在医生指导下,张先生便能够借助助行器下地站立、迈步行走。
“感觉非常好!膝盖那里终于不痛了,而且自己能控制它了。”张先生的喜悦之情溢于言表。快速的功能恢复,极大地增强了他的康复信心。
目前,张先生正在接受系统的康复训练,恢复进展顺利。此次成功实践,不仅为他个人解除了病痛,也为众多面临类似复杂关节翻修困境的患者,提供了一种全新、高效、可靠的解决方案。

舟山广安医院骨科通过整合基因测序、智能规划、先进假体与靶向治疗,将膝关节翻修手术提升至 “精准导航、个性化重建” 的新高度。这项技术融合方案的成功应用,生动诠释了“科技改变医疗”的力量。
它不仅仅是假体的更换,更是通过一系列前沿技术环环相扣,为患者系统性解决感染、结构缺损与功能重建三大难题,最终实现 “行走如初” 的根本目标。
科技进步的最终落脚点,永远是患者更高质量的生活。 当术后第一天就能迈出的步伐在走廊响起,所有艰辛的医学探索都充满了值得的光芒。
学科带头人罗军主任中医师简介

罗军,舟山广安医院副院长,主任中医师,副教授,留韩学者,浙江省551卫生高层次人才,浙江省中医确有专长师承导师,舟山市特优人才。
国际关节镜、膝关节外科与骨科运动医学学会(ISAKOS)会员,亚太膝关节 - 关节镜- 骨科运动医学会(APKASS)创办会员,中华医学会运动医疗分会上肢学组第一届及第二届青年委员会委员,中国医师协会骨科分会肩肘外科专业委员会委员,中国中医药促进会骨伤分会微创委员会委员,中国医学救援协会运动伤害分会理事,浙江省康复医学会四肢功能重建委员会委员,浙江省运动医学分会加速康复学组委员,浙江省医师协会运动医疗分会委员会委员,浙江省中医药学会运动医学分会委员,舟山市运动医学专业委员会副主任委员,舟山市中医药学会骨伤副主任委员,舟山市医学会骨科学委员。
2010年至2011年在韩国釜山 CENTUM 医院进修最新人工全膝关节置换及肩、膝、踝关节镜手术。先后到德国 ROSTOCK 大学医院、韩国仁济大学釜山白医院、新加坡中央医院、北京积水潭医院、北京解放军总医院、上海华山医院、上海第六人民院、广州中医药大学第一附属医院、成都华西医院、上海长征医院等医院参加关节镜下交叉韧带重建、半月板缝合、骨科创伤微创手术及膝、髋、肩人工关节置换进修培训。
擅长机器人微创人工智能髋、膝、肩、踝、肘等关节人工置换,骨科运动医学与关节镜微创手术治疗,四肢关节的软骨、肌腱、韧带运动损伤的诊断及修复重建手术,骨盆骨折及关节周围骨折的微创手术治疗。
在国内较早开展微创DAA髋关节置换,机器人辅助关节置换,3D打印智能数字骨科及肩关节镜手术治疗肩袖损伤,同时在巨大肩袖撕裂的关节镜手术及肩关节不稳病例的处理积累了较丰富的临床经验,累计参与完成各类关节镜手术5000余例,骨折微创手术3000余例,微创人工智能关节置换手术2000余例。
上一篇
下一篇